Infiltrations

On appelle « infiltration » l’injection d’une substance thérapeutique, en général un dérivé cortisoné, à proximité immédiate d’une structure anatomique que l’on veut soigner.

Autrefois, les infiltrations étaient effectuées sur la base de repères cliniques. C’est encore le cas aujourd’hui. Toutefois, le développement de l'imagerie médicale a permis de réaliser ces gestes avec plus de précision et de sûreté, en guidant le trajet de l’aiguille sous radioscopie, échographie ou scanner.

Ces infiltrations nécessitent une prescription médicale. Il faudra vous assurer en lisant et en remplissant le formulaire ci-joint de ne pas avoir de contre-indication à ce geste (notamment prise d’anticoagulants ou d’anti-aggrégants plaquettaires (dont le plus connu est l’aspirine), contexte infectieux, mauvais état cutané….). Si c'est le cas, il faudra prévenir notre secrétariat ou en parler à votre médecin traitant.

Pour toute infiltration, un repos de 48 heures vous sera préconisé après le geste (parfois, il s'agira d'un repos relatif, mais un repos au lit peut être nécessaire). En fonction du site infiltré, il pourra vous être demandé de ne pas conduire (ou de prendre un taxi).

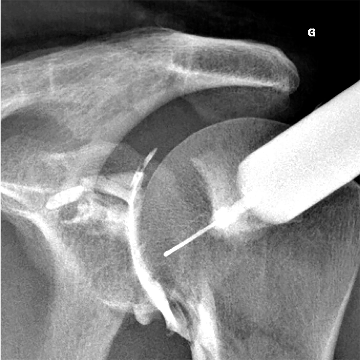
Les infiltrations radioguidées (infiltrations sous radioscopie)

Un grand nombre d'infiltrations s'effectuent sous guidage radioscopique. Pour ces gestes, il est souvent nécessaire d'utiliser un produit de contraste iodé pour vérifier la bonne injection du produit anti-inflammatoire au niveau de la zone souhaitée. Ces infiltrations concernent souvent la colonne vertébrale, mais également les articulations périphériques (épaule, coude, poignet, main, hanche, genou, cheville, pied...).

- La radiologie interventionnelle rachidienne.Gérard Morvan, Marc Wybier, Philippe Mathieu, Valérie Vuillemin, Henri Guerini. e-mémoires de l'Académie Nationale de Chirurgie, 2009, 8 (2) : 55-64

Les infiltrations échoguidées (infiltrations sous échographie)

Depuis quelques années, l’échographie offre une alternative intéressante pour les infiltrations des « parties molles » (articulations, tendons…) en permettant de suivre le trajet de l’aiguille sans rayons X, ni injection de produit de contraste iodé. Cette technique permet d'infiltrer les tendinopathies, les bursites, les articulations pathologiques et de réaliser des ponctions-aspirations de calcifications tendineuses.

Peu invasive, l’échographie permet d’effectuer de nombreux gestes avec une grande précision, mais ne permet pas toutes les infiltrations, notamment des structures profondes comme le rachis.

- Henri Guerini, Jean Luc Drapé. Infiltrations échoguidées en pathologie musculosquelettique. Livre Elsevier Masson.Collection imagerie médicale pratique.2012

- Gestes échoguidés en pathologie ostéo-articulaire.  H Guerini, G Morvan, V Vuillemin, A Feydy, JL Drapé, A Chevrot.e-mémoires de l'Académie Nationale de Chirurgie, 2009, 8 (2) : 48-54


Les infiltrations scannoguidées (infiltrations sous scanner)

 Certaines structures profondes de morphologie complexe ne peuvent être abordées aisément  sous guidage radioscopique ou échographique. C’est le cas de certaines infiltrations rachidiennes, pelviennes profondes… Le guidage de l’aiguille sous scanner, à l’aide de logiciels spécialement conçus à cet effet, permet d’effectuer ces gestes délicats en sécurité.

Ainsi, grâce au choix du moyen  de guidage le plus adapté,  il est actuellement possible à un praticien exercé d’infiltrer, avec un maximum de sécurité, la majorité des structures anatomiques susceptibles d’avoir recours à un tel traitement.

GALERIE PHOTOS



Prendre rendez-vous en ligne
Utilisez notre plateforme pour prendre rendez-vous en quelques clics.
Prendre rendez-vous par téléphone
Notre accueil téléphonique est ouvert du lundi au vendredi, de 8h30 à 18h30.
Les centres

Ouvert du lun. au vend. de 8h30 à 18h30
Le samedi, de 8h30 à 12h
01 47 04 44 20 - Fax : 01 45 20 73 64
secretariat@imagerie-medicale-vinci.fr

Centre Cortambert - 43 rue Cortambert, 75116 Paris
Clinique Victor Hugo - 5 bis rue du Dôme, 75116 Paris
Clinique Jouvenet - 6 square Jouvenet, 75016 Paris
RMX Paris 15 - 80 avenue Félix Faure, 75015 Paris
IRM et scanner Saint-Joseph - 185 rue Raymond Losserand, 75014 Paris
Clinique Molitor - 37 rue Molitor, 75016 Paris